Técnica de Autotrasplante de Cartílago de Crecimiento – Tibialización del Peroné Proximal – Reconstrucción Biológica – Injerto Autólogo en Osteosarcoma de Tibia
El autotrasplante del peroné vascularizado, con su placa de crecimiento, está demostrando ser una solución biológica eficaz. El peroné se “tibializa” y su placa de crecimiento continúa creciendo, reemplazando la placa de crecimiento tibial, que fue resecada junto con el tumor.
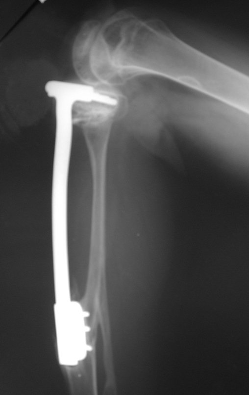
Miembro inferior alineado y clínicamente con la pierna más corta, ya que el acortamiento se produjo desde el inicio, debido a la inclinación de la epífisis, provocando deslizamiento inferior del vástago de la placa, ya demostrado con la inclinación de los tornillos epifisarios.
Han pasado diez años desde la evaluación de 2005. El paciente, que ahora tiene 28 años, regresa el 15 de noviembre de 2015. Actualmente trabaja como conductor, transportando azúcar a granel desde el estado de Minas Gerais hasta el puerto de Santos. Recorre 800 kilómetros conduciendo un camión, utilizando su pierna derecha para acelerar y frenar. La reconstrucción de la pierna, realizada con autotrasplante de cartílago de crecimiento, resulta ser una excelente alternativa a las endoprótesis para niños en crecimiento, con buenos resultados funcionales. Una solución biológica, autóloga y definitiva.
Véase el artículo sobre este dispositivo de fijación interna extensible que desarrollamos, así como el uso de esta técnica en los dos primeros casos, publicado en la Revista Brasileira de Ortopedia – Vol. 36, nº 7 – julio de 2001, Figura. 166. Se puede acceder y descargar este artículo completo en PDF directamente desde el siguiente enlace:
https://www.oncocirurgia.com.br/2015/08/19/dispósito-de-fixacao-interna-extensivel/
Esta técnica, de autotrasplante de cartílago de crecimiento, ha sido divulgada en varios congresos nacionales e internacionales en los últimos años.
Realizamos una investigación en perros Poodle, en colaboración con la Facultad de Veterinaria de Botucatu. Este trabajo resultó en una Tesis de Maestría, en el Área de Medicina Veterinaria, en la cual actuamos como Codirector. Esta tesis fue publicada posteriormente en una revista internacional, en ZEITSCHRIFTEN – VETERINARY AND COMPARATIVE ORTHOPEDICS AND TRAUMATOLOGY – ARCHIVE – NÚMERO 2 2008, Figura 167. Se puede acceder a este artículo en el siguiente enlace:
En 2016 publicamos un artículo actualizado con la evolución de este caso, con dieciséis años de seguimiento, ver:
http://springerplus.springeropen.com/articles/10.1186/s40064-016-2042-7
Autor: Profr. Dr. Pedro Péricles Ribeiro Baptista
Oncocirugía Ortopédica en el Instituto Oncológico Dr. Arnaldo Vieira de Carvalho
Oficina : Rua General Jardim, 846 – Cj 41 – Cep: 01223-010 Higienópolis São Paulo – SP
Teléfono: +55 11 3231-4638 Celular:+55 11 99863-5577 Correo electrónico: drpprb@gmail.com

