Radioablación en osteoma osteoide de calcáneo – Técnica de resección y reconstrucción con injerto autólogo
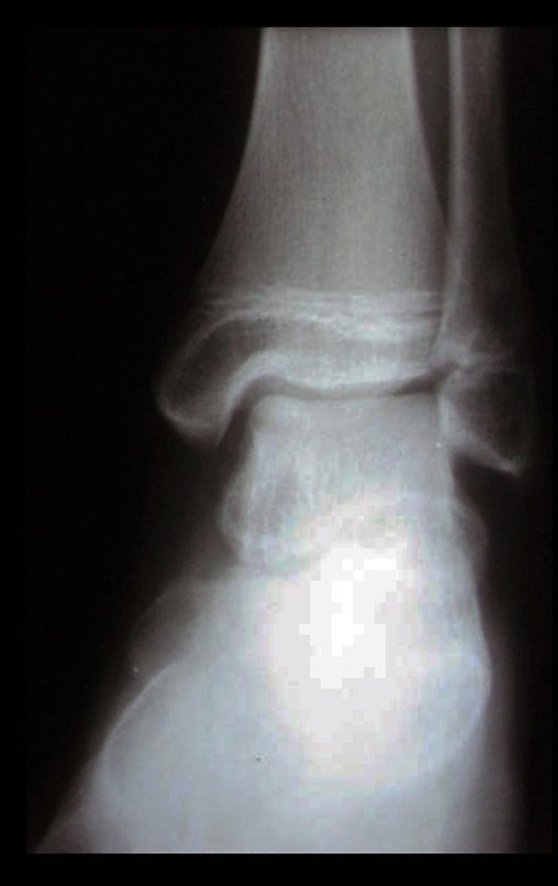
Para estudiar mejor la lesión se realizó una tomografía ósea, figuras 9 a 14.
Con la hipótesis diagnóstica de osteoma osteoide, el ortopedista que lo acompañaba recomendó tratamiento con radioterapia. En abril de 2014 se sometió a radioablación. Durante los primeros tres meses utilizó analgésicos de forma intermitente.
Cuatro meses después de la radioablación, debido a la persistencia del cuadro doloroso, se realizó nueva tomografía el 17/08/2014.
Las imágenes de esta tomografía computarizada, tras la radioablación, se analizan en las figuras 15 a 20.
¿Cuál es el significado de esta imagen? ¿Cicatriz? ¿Persistencia de la lesión? ¿El paciente sigue teniendo los mismos síntomas?
Se indica fisioterapia analgésica y cambio de medicación. Al no mejorar los síntomas, se realizó una resonancia magnética para evaluar mejor el estado.
La paciente es remitida para segunda opinión, siendo evaluada en diciembre de 2014, figuras 35 a 39.
Luego de un cuidadoso análisis del caso y con evolución insatisfactoria, el paciente fue intervenido quirúrgicamente en enero de 2015, para resecar la lesión y colocar un injerto ilíaco autólogo.
La extracción de un injerto ilíaco también debe realizarse con acceso quirúrgico y hemostasia adecuada. Para hacer esto, es necesario hacer una incisión en la piel por encima de la cresta ilíaca, solo la piel y el tejido subcutáneo, realizar una hemostasia cuidadosa con electrocauterio y retraer la piel distalmente, sin pasar por la inserción del músculo oblicuo abdominal. Este hay que retirarlo de la cresta, como si estuviéramos “ rugiendo ” el hueso con un bisturí eléctrico. No se debe cortar el músculo , como suelen hacer los cirujanos principiantes, ya que habrá sangrado.
De esta manera podemos lograr un acceso amplio, seguro y sin pérdidas de sangre innecesarias, figuras 51 a 58.
Vídeo 1: Preparando el injerto.
El calcáneo es un hueso de carga, y su reconstrucción con injerto óseo autólogo tiene la mejor integración, permitiendo una recuperación temprana de la función del paciente.
Regrese al consultorio 8 días después de la cirugía.
Vídeo 2: Seis semanas de postoperatorio, el 25/02/2015.
Vídeo 3: Movilidad normal del tobillo.
Video 4: Paciente caminando con carga completa – tres meses postoperatorio.
Autor: Profr. Dr. Pedro Péricles Ribeiro Baptista
Oncocirugía Ortopédica en el Instituto Oncológico Dr. Arnaldo Vieira de Carvalho
Oficina : Rua General Jardim, 846 – Cj 41 – Cep: 01223-010 Higienópolis São Paulo – SP
Teléfono: +55 11 3231-4638 Celular:+55 11 99863-5577 Correo electrónico: drpprb@gmail.com

