El osteosarcoma de superficie, también conocido como paróstico o yuxtacortical, es aquel que comienza en la superficie del hueso y crece externamente. No hay lesión en la médula ósea y en su superficie tenemos representada la zona de crecimiento tumoral, por tanto la región más inmadura. Tiene dos representaciones histológicas: -a) de bajo grado : prácticamente no hay mitosis atípicas y se asemeja a hueso maduro. Su diagnóstico se confirma mediante pruebas clínicas y de imagen.
Osteosarcoma de superficie
-b) alto grado : presenta las mismas características clínicas pero con atipia y polimorfismo de neoplasia inmadura.
Su manifestación clínica se caracteriza por una evolución lenta , afectando la tercera y cuarta década, presentándose en la región metafisaria posterior y distal del fémur, cavo poplíteo, húmero proximal y radio distal.
Radiológicamente se caracteriza por una lesión densa, de neoformación ósea tumoral, cuya base se encuentra en continuidad con la corteza del hueso afectado. La superficie puede tener una capa cartilaginosa y representa la zona inmadura.
El principal diagnóstico diferencial es la miositis osificante (que presenta inmadurez en el centro de la lesión y cuya periferia es más madura, calcificada).
El tratamiento del osteosarcoma superficial de bajo grado consiste en la resección oncológica de la lesión, que puede ser parieltal parcial o segmentaria, y la reconstrucción con injerto óseo o endoprótesis.
El grado alto se trata como un osteosarcoma central, es decir, quimioterapia – cirugía – quimioterapia.
Autor: Profr. Dr. Pedro Péricles Ribeiro Baptista
Oncocirugía Ortopédica en el Instituto Oncológico Dr. Arnaldo Vieira de Carvalho
Oficina : Rua General Jardim, 846 – Cj 41 – Cep: 01223-010 Higienópolis São Paulo – SP
Teléfono: +55 11 3231-4638 Celular:+55 11 99863-5577 Correo electrónico: drpprb@gmail.com
Osteosarcoma
Afecta a personas jóvenes en la primera y segunda década, afectando la región metafisaria de los huesos largos, cercana a la placa de crecimiento. Clínicamente presenta dolor en la región afectada, calor por hiperemia, tumor por aumento de volumen local más alguna limitación funcional .
Radiográficamente presenta una lesión en la región metafisaria caracterizada por áreas de formación de hueso nuevo intercaladas con áreas de rarefacción ósea, de límites imprecisos, con erosión cortical y una reacción perióstica laminar delgada, formando el triángulo de Codman. La presencia del triángulo de Codman denota la existencia de un tumor extracortical.
El triángulo de Codman (figura 2) es un signo radiológico que se presenta en otras afecciones como osteomielitis, granuloma eosinofílico, sarcoma de Ewing y otros tumores. Puede aparecer siempre que se produce una lesión dentro de un hueso y crece fuera de él. Cuando la lesión (o pus en la osteomielitis) sobrepasa el hueso cortical, provoca el desprendimiento del periostio que estaba adherido al hueso cortical. Por tanto, la lesión crece y este desprendimiento estimula el periostio para que produzca hueso. De esta forma se produce una capa de mineralización como si se formara una neocortical. Este proceso puede ocurrir de forma sucesiva, formando verdaderas capas (lamellas) (figuras 3a y 3b). Estas capas pueden ser delgadas (reacción perióstica laminar delgada, que caracteriza la velocidad de crecimiento de la lesión) o gruesas (reacción perióstica laminar gruesa, que caracteriza el crecimiento lento) . A medida que avanza la lesión, este intento de “barrera” se rompe y radiográficamente aparece un triángulo delimitado externamente por el periostio (que fue sucesivamente desprendido y eliminado de la corteza ósea), internamente por la corteza ósea y en la base por el tumor en expansión.
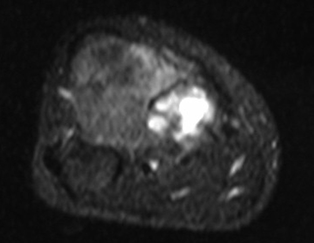
El estudio imagenológico de la lesión puede ser más detallado mediante tomografía (figura 3c), que permite evaluar la erosión de la corteza ósea y la afectación extracortical. La resonancia magnética es importante para definir la extensión del tumor, tanto en la zona medular como extracortical (figuras 4d, 4e y 4f). Este examen también permite evaluar la relación entre el tumor y las partes blandas (músculos, vasos y nervios) y es fundamental para la planificación quirúrgica.
El tratamiento actual del osteosarcoma consiste en poliquimioterapia preoperatoria, durante aproximadamente 3 a 4 ciclos, seguida de resección completa del tumor y complementada con quimioterapia posoperatoria. Actualmente es posible resecar el tumor (figuras 5, 6 y 7) y reconstruir el segmento afectado con prótesis o soluciones biológicas (figura 6) (injerto óseo autólogo u homólogo). Las cirugías ablativas (amputaciones) se reservan para casos de tumor avanzado, de gran volumen, que compromete la piel y/o el haz vascular-nervioso o en aquellos casos que no obtuvieron buena respuesta a la quimioterapia preoperatoria y cuya resección conservadora, con preservación de la extremidad, implica un riesgo de recurrencia local de la lesión.
Autor: Profr. Dr. Pedro Péricles Ribeiro Baptista
Oncocirugía Ortopédica en el Instituto Oncológico Dr. Arnaldo Vieira de Carvalho
Oficina : Rua General Jardim, 846 – Cj 41 – Cep: 01223-010 Higienópolis São Paulo – SP
Teléfono: +55 11 3231-4638 Celular:+55 11 99863-5577 Correo electrónico: drpprb@gmail.com
osteocondroma
Ocurre en la primera y segunda décadas, en la región metafisaria de los huesos largos, caracterizándose radiográficamente por un tumor que forma cartílago y hueso. Característicamente, el hueso esponjoso central de la exostosis continúa con la médula del hueso afectado y la capa cortical densa del tumor continúa con el hueso cortical normal. En la superficie de esta lesión hay una banda de cartílago, a través de la cual crece la lesión (de ahí el nombre de osteocondroma: tumor que forma cartílago y hueso ).
Se presenta con base sésil (base agrandada) o forma pediculada.
Puede ser único o múltiple (osteocondromatosis hereditaria)
Los osteocondromas requieren tratamiento quirúrgico ( resección ) cuando alteran la estética, comprimen estructuras vasculares-nerviosas o limitan la función. Generalmente crecen mientras el paciente se encuentra en la fase de crecimiento.
Cuando un osteocondroma aumenta de tamaño después de completar la madurez esquelética, puede significar bursitis postraumática o malignidad a condrosarcoma y debe ser resecado con un margen oncológico.
El osteocondroma solitario puede tener una tasa de malignidad del 1%, mientras que la osteocondromatosis múltiple puede alcanzar el 10%.
Entre las lesiones cartilaginosas benignas no podemos olvidarnos del condroblastoma.
Autor: Profr. Dr. Pedro Péricles Ribeiro Baptista
Oncocirugía Ortopédica en el Instituto Oncológico Dr. Arnaldo Vieira de Carvalho
Oficina : Rua General Jardim, 846 – Cj 41 – Cep: 01223-010 Higienópolis São Paulo – SP
Teléfono: +55 11 3231-4638 Celular:+55 11 99863-5577 Correo electrónico: drpprb@gmail.com
Condroma: tumor benigno del cartílago de los huesos
La encondromatosis unilateral es una forma específica de displasia ósea, llamada enfermedad de Ollier (fig. 19a; 19b; 19c), caracterizada por la presencia de múltiples condromas en un lado del cuerpo. Por otro lado, el síndrome de Maffucci es una afección aún más rara, caracterizada por la presencia de múltiples encondromas asociados a hemangiomas.
Aunque es menos común, el condroma también puede desarrollarse en huesos largos, como el fémur distal (fig. 20), el húmero proximal y la tibia. En estas localizaciones, el diagnóstico diferencial entre el condroma y otras enfermedades, como el infarto óseo y el condrosarcoma central, puede resultar complicado. El infarto óseo, generalmente indoloro, puede detectarse mediante exámenes radiológicos, mientras que el condrosarcoma central es sintomático, con erosión del hueso cortical interno. En estos casos, la observación clínica y radiológica es crucial antes de cualquier intervención terapéutica.
Radiográficamente, el condroma suele aparecer como un área de enrarecimiento, que puede presentar puntos de calcificación y eventualmente provocar deformidades óseas.
El tratamiento típico del condroma implica legrado de la lesión y, si es necesario, injerto óseo. Cuando el condroma afecta la superficie externa de los huesos se le conoce como condroma yuxtacortical y generalmente se trata con resección quirúrgica parietal (fig. 21).
En definitiva, el condroma es una patología benigna, pero su presencia y comportamiento deben ser monitorizados y tratados cuidadosamente para evitar complicaciones.
Autor: Profr. Dr. Pedro Péricles Ribeiro Baptista
Oncocirugía Ortopédica en el Instituto Oncológico Dr. Arnaldo Vieira de Carvalho
Oficina : Rua General Jardim, 846 – Cj 41 – Cep: 01223-010 Higienópolis São Paulo – SP
Teléfono: +55 11 3231-4638 Celular:+55 11 99863-5577 Correo electrónico: drpprb@gmail.com
Osteosarcoma de Tibia – Prótesis parcial rotacional – Técnica de Capsuloplastia y Ligamentoplastia de Rodilla
El análisis de este cuadro clínico, paciente de 14 años de edad (adolescente), con alteración de laboratorio (↑VHS y ↑FA) y de imagen
(lesión metafisaria agresiva), apuntan para una hipótesis diagnóstica de osteosarcoma y muy remotamente a fibroma condromixoide,
como diagnóstico diferencial.
Después del estadiamiento sistémico y local de la lesión, con los estudios de imagen y laboratorios, fue realizada la biopsia de la lesión, con aguja de Jamshidi guiada por radioscopia (Figura 20 a 21).
El tratamiento de este tumor es quimioterapia preoperatoria, seguida de cirugía de resección de la lesión con márgenes oncológicos y quimioterapia postoperatoria.
Después de la quimioterapia (preoperatoria) le fueron realizados los estudios de imagen para evaluación clínica de la respuesta a la quimioterapia de inducción y planteamiento quirúrgico (Figura 30 a 38).
Con una buena respuesta clínica y de imagen, fue confeccionada una prótesis a la medida especial para este paciente, que permita la reconstrucción funcional, después de la resección del segmento proximal de la tibia, con preservación de los meniscos y reconstrucción capsulo ligamentaria.
Después de realizados tres ciclos de quimioterapia neo-adjuvante, esperamos la recuperación hematológica de la paciente y realizamos cirugía de resección de la lesión, con márgenes oncológicos y reconstrucción con prótesis especial parcial de tibia proximal (Figuras 30 a 85).
El video muestra el rango de movimiento, durante la operación, que la prótesis parcial de tibia permite. Esta prótesis está hecha de polietileno y de titanio, especialmente para esta paciente y requiere tener el tamaño adecuado para adaptarse al tamaño de los cóndilos femorales.
Video 1: Postoperatorio inmediato, Prótesis estable con buena flexo-extensión de la rodilla.
Video 3: Postoperatorio de ocho meses, recibiendo quimioterapia adyuvante. Esta paciente comenzó a caminar con carga parcial del miembro operado después de seis meses de la cirugía. Este tiempo fue necesario para la formación de una reacción fibrótica alrededor de la prótesis y para garantizar la fijación del tendón patelar a esta reacción fibrótica.
Video 7: Post operatorio de un año y ocho meses de la cirugía.
Video 12: Post operatorio de ocho meses. Paciente sin quejas, excelente función, logrando sus habilidades.
Vídeo 13: Pós-operatório de oito anos e dois meses. Paciente sem queixa, excelente função, concluindo sua Faculdade.
Autor: Profr. Dr. Pedro Péricles Ribeiro Baptista
Oncocirugía Ortopédica en el Instituto Oncológico Dr. Arnaldo Vieira de Carvalho
Oficina : Rua General Jardim, 846 – Cj 41 – Cep: 01223-010 Higienópolis São Paulo – SP
Teléfono: +55 11 3231-4638 Celular:+55 11 99863-5577 Correo electrónico: drpprb@gmail.com








