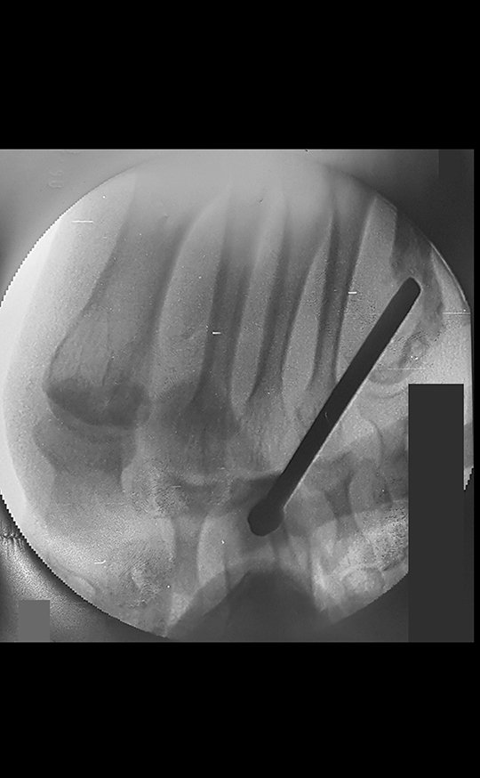
Fibroma desmoide del pie Reconstrucción del quinto metatarsiano
Fibroma desmoide del pie. Paciente de 43 años con “callo” en el quinto metatarsiano del pie izquierdo desde hace veinte años, que desarrolló deformidad, aumento de volumen y dolor en el último año.
Video 1: Función a los 12 días de la cirugía. Caminando con Robofoot.
Video 1: Función a los 12 días de la cirugía. Caminando con Robofoot.
Autores del caso
Autor: Profr. Dr. Pedro Péricles Ribeiro Baptista
Oncocirugía Ortopédica en el Instituto Oncológico Dr. Arnaldo Vieira de Carvalho
Oficina : Rua General Jardim, 846 – Cj 41 – Cep: 01223-010 Higienópolis São Paulo – SP
Teléfono: +55 11 3231-4638 Celular:+55 11 99863-5577 Correo electrónico: drpprb@gmail.com
