Osteosarcoma tibial: prótesis parcial y ligamentoplastia
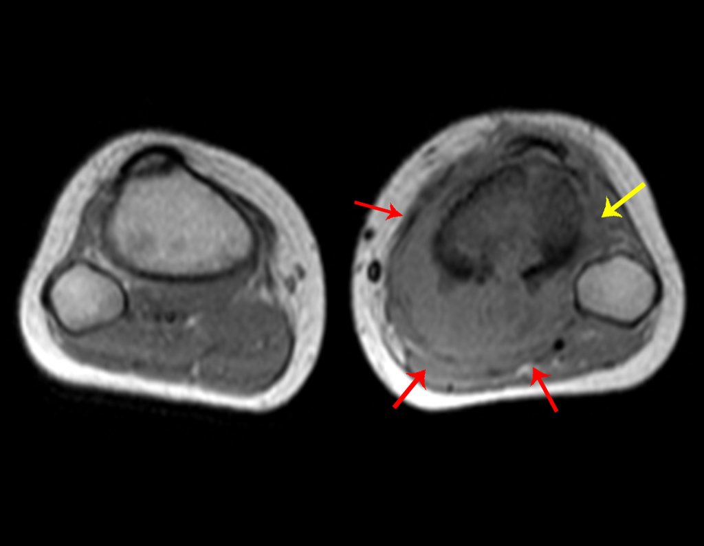
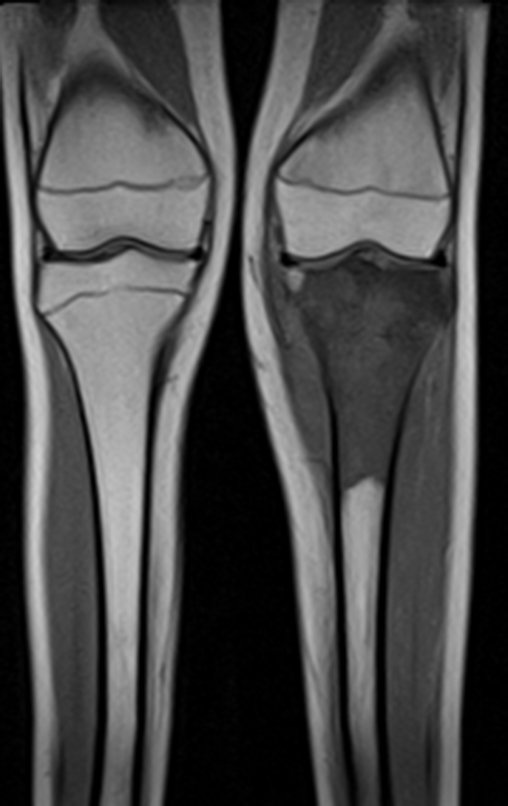
Prótesis Parcial de Tibia. Paciente femenina, 12 años, fecha de nacimiento 18 de marzo de 2003, comenzó en abril con dolor y cojera, consultó en varios centros y fue tratada con analgésicos.
Ingresó en el hospital en mayo y se sometió a una biopsia por punción. El informe anatomopatológico indicó osteosarcoma central convencional localizado, con cultivos negativos. Se le realizó estadificación con TC de tórax, gammagrafía ósea de todo el cuerpo y resonancia magnética del miembro inferior derecho. Se le realizaron tres ciclos de quimioterapia neoadyuvante con Platino y Doxorrubicina, con buena respuesta.
Vídeo: 017
Autores del caso
Autor: Profr. Dr. Pedro Péricles Ribeiro Baptista
Oncocirugía Ortopédica en el Instituto Oncológico Dr. Arnaldo Vieira de Carvalho
Oficina : Rua General Jardim, 846 – Cj 41 – Cep: 01223-010 Higienópolis São Paulo – SP
Teléfono: +55 11 3231-4638 Celular:+55 11 99863-5577 Correo electrónico: drpprb@gmail.com
