Liposarcoma mixoide
Liposarcoma mixoide. Paciente masculino, 28 años, refiere dolor y abultamiento progresivo en región posterior del muslo derecho, en sentido distal, desde hace 8 meses, niega traumatismo local. Inicialmente buscó un servicio de ortopedia, le realizaron una biopsia y le diagnosticaron liposarcoma mixoide.
Derivado a nuestro servicio encontramos una tumoración extensa en la superficie posterior del muslo, desde el tercio medio hasta la línea articular, sin dolor ni déficit neurológico.
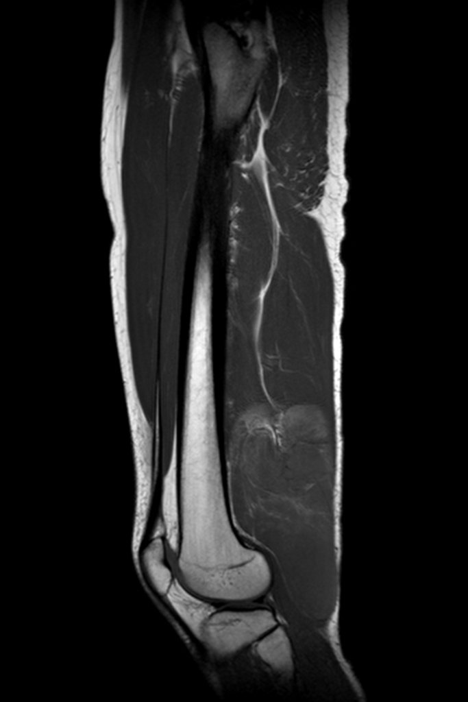
Las imágenes por resonancia magnética, figuras 1 a 14, demuestran la heterogeneidad de la lesión y su agresividad, mostrando la gran extensión de la lesión y su proximidad al haz vascular-nervioso.
Clinicamente apresentava abaulamento na região posterior da coxa direita, com dor à palpação e aos esforços, iniciando atualmente com quadro de parestesia na perna esquerda, sem déficit neurológico, figuras 15 à 18.
Tras realizar anamnesis, exploración física y pruebas complementarias al paciente, planteamos algunas hipótesis diagnósticas. Como la paciente fue sometida a una biopsia en otro servicio, discutimos el portaobjetos con el equipo de patología local, quienes analizaron el material y luego de discutir llegamos al diagnóstico de liposarcoma condromixoide.
Hablamos con el paciente sobre su patología y tratamiento (resección + complementación con radioterapia local a criterio del radioterapeuta), programamos con él la resección quirúrgica en consecuencia. Las siguientes imágenes explican paso a paso la cirugía.
Autores del caso
Autor: Profr. Dr. Pedro Péricles Ribeiro Baptista
Oncocirugía Ortopédica en el Instituto Oncológico Dr. Arnaldo Vieira de Carvalho
Oficina : Rua General Jardim, 846 – Cj 41 – Cep: 01223-010 Higienópolis São Paulo – SP
Teléfono: +55 11 3231-4638 Celular:+55 11 99863-5577 Correo electrónico: drpprb@gmail.com
