Granuloma eosinofílico radial
Granuloma eosinofílico por radio. Paciente con deficiencia de IGA, diagnosticada a los dos años de edad mediante medición de inmunoglobulinas, realizada por otitis recurrente. El niño tiene dificultad en el cambio serológico.
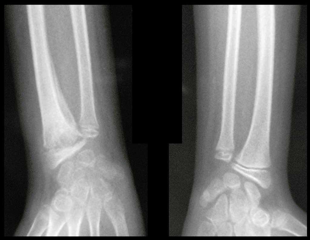
A los once años sufrió un traumatismo en la mano derecha en abril de 2015, siendo diagnosticada una fractura, la cual fue tratada con inmovilización durante 14 días, figuras 0a y 0b,
Pasó sus vacaciones de julio en SnowLand, en Gramado, cayendo muchas veces mientras patinaba, regresando el 2 de agosto de 2015 y refiriendo dolores en el antebrazo derecho y en el pie derecho, atribuidos a la actividad deportiva durante las vacaciones.
El 6 de agosto de 2015, ante la persistencia de los síntomas, se toman radiografías de pie derecho y muñeca derecha, interpretándose que no había fractura en pie derecho y no había indicación de tratamiento. El antebrazo estuvo inmovilizado durante una semana, debido al diagnóstico de contusión. Estas radiografías no se recuperaron.
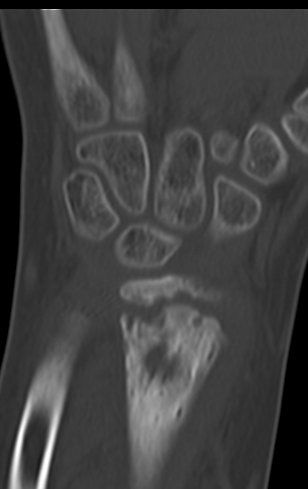
Después de una semana, el 14/08/2015, se retiró la férula y se encontró edema residual en la muñeca y dolor local. La semana siguiente, el 17/08/2015, fue evaluado por otro ortopedista quien repitió las radiografías y diagnosticó un quiste en el radio y una pequeña fractura arriba, figuras 1 a 5.
Le aconsejaron reposo de la articulación, “sin inmovilización” e indicando observación y seguimiento por otras dos o tres semanas. Para recuperar el movimiento, “perdido con la férula”, se recomendaron diez sesiones de fisioterapia, con inicio inmediato, entre el 18 y el 31 de agosto.
Con la aparente reducción del dolor, después del 07/09/2015 reingresó a las actividades deportivas escolares, baloncesto y fútbol, reapareciendo el edema de la muñeca y la recurrencia del dolor. El baloncesto volvió a ser detenido.
El domingo 20/09/2015, después de un día de mucha actividad física, caminar, nadar, se presentó aumento de edema y dolor en la muñeca derecha. Al día siguiente se realizaron nuevas radiografías de muñeca, que identificaron la evolución de la lesión, figuras 6 y 7.
Cirunferência do punhos em 17/10/2015: esquerdo= 14,0 cm ; direito: 16,0 cm
Cirunferência do punhos em 17/10/2015: esquerdo= 14,3 cm ; direito: 15,5 cm
Em 30 de maio de 2016, após seis meses de tratamento com Vimblastina EV, Mercaptopurina e Meticorten (50 mg) o paciente retorna para avaliação. Neste período teve um episódio de dor e edema do punho em Janeiro de 2016, cujas radiografias são apresentadas nas figuras 142 e 143. Manteve o punho imobilizado e reavaliou-se em 11-04-2016, figuras 144 e 145.
En la misma fecha, 23/05/2016, se le realizó un examen de resonancia magnética, como se muestra en las figuras 159 a 172.
Debido a cambios persistentes en las imágenes y signos clínicos de episodios recurrentes de dolor e hinchazón en la muñeca, aconsejamos a las personas mantenerse alejadas de la práctica deportiva, evitar movimientos que provoquen esguinces de muñeca y suspender la medicación analgésica por un período aproximado de dos meses. Luego de este período de observación, realizar pruebas de imagen para análisis y definición de manejo. Regrese/informe a la oficina con anticipación si presenta síntomas clínicos desfavorables, o regrese temprano para nuestra reevaluación.
Autores del caso
Autor: Profr. Dr. Pedro Péricles Ribeiro Baptista
Oncocirugía Ortopédica en el Instituto Oncológico Dr. Arnaldo Vieira de Carvalho
Oficina : Rua General Jardim, 846 – Cj 41 – Cep: 01223-010 Higienópolis São Paulo – SP
Teléfono: +55 11 3231-4638 Celular:+55 11 99863-5577 Correo electrónico: drpprb@gmail.com
